
Отправка с 28 января 2026Цену уточняйте
Серия TM4000 отличается инновациями и передовыми технологиями, которые переопределяют возможности настольных микроскопов. Это новое поколение давних настольных микроскопов Hitachi (TM) сочетает в себе простоту использования, оптимизированную визуализацию и высокое качество изображения, сохраняя при этом компактный дизайн хорошо зарекомендовавших себя продуктов Hitachi серии TM. Испытайте новое измерение настольных микроскопов с Hitachi TM4000 II и TM4000Plus II.

Легко переключать изображения одним щелчком мыши.

Быстрое получение карт стихий *2

Образец: Движение часов
Использование оптических изображений помогает легко ориентироваться в целевой области наблюдения.
Полученные изображения SEM можно наложить на изображение SEM MAP.

Образец: Механизм часов
Просто выберите изображения и шаблон для создания настраиваемых отчетов.
Созданные отчеты можно сохранять/редактировать в форматах Microsoft Office® .

Образец: Движение часов
. Изображение на экране включает варианты.
Заряд на образце можно уменьшить одним щелчком мыши.

На изображениях показаны наблюдения за непроводящими образцами, такими как частицы чернильного тонера и гидратированная поверхность листа.

Образец: краска для краски
Ускоряющее напряжение: 5 кВ
Сигнал изображения: BSE
Увеличение: 2500x

Образец: Лист растения
Ускоряющее напряжение: 10 кВ
Сигнал изображения: SE
Увеличение: 100x
TM4000Plus II может наблюдать не только проводящие образцы, но и непроводящие или гидратированные образцы без подготовки образца. Переключение между BSE и SE может быть выполнено легко.
Hitachi UVD генерирует изображения вторичных электронов, обнаруживая видимый свет, возбуждаемый взаимодействием электронного газа.


Ускоряющее напряжение: 5 кВ
Сигнал изображения: SE
Увеличение: 800x

Образец: Печатная бумага
Ускоряющее напряжение: 5 кВ
Сигнал изображения: BSE
Увеличение: 800x
Данные картирования ЭДС на 20 кВ за 2 мин

Образец: Электронные компоненты
Функция, которая берет несколько изображений с большим увеличением и объединяет их вместе для создания одного изображения с высоким разрешением.



Образец: японская старинная монета
Ускоряющее напряжение: 15 кВ
Сигнал изображения: SE
Увеличение: 30x
Поле зрения 10 по вертикали × 12 по горизонтали
(некоторые части были обрезаны)
Недавно разработанный держатель STEM можно использовать для передачи изображений с помощью Hitachi UVD. Можно получить изображения тонких или биологических образцов.

* UVD — это функция TM4000Plus II.



Образец: Абразив
Ускоряющее напряжение: 20 кВ
Сигнал изображения: (а) STEM, (b) BSE
Увеличение: 10 000 x

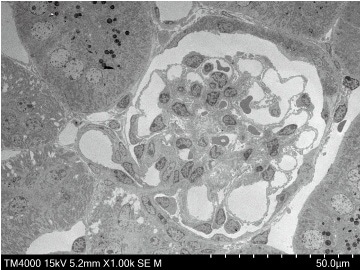
Образец: почка крысы.
Ускоряющее напряжение: 15 кВ
. Сигнал изображения: STEM
. Увеличение: 1000x.

Образец: печень крысы
Ускоряющее напряжение: 15 кВ
Сигнал изображения: STEM
Увеличение: 5000 x
| Наименование модели | ТМ4000Plus II | ТМ4000 II |
|---|---|---|
| Увеличение | 10× - 100 000× (фотографическое увеличение) 25× - 250 000× (увеличение монитора) |
|
| Ускоряющее напряжение | 5 кВ, 10 кВ, 15 кВ, 20 кВ | |
| Сигнал изображения | Обратнорассеянный электрон Вторичный электрон Смесь (обратнорассеянный электрон + вторичный электрон) |
Обратнорассеянный электрон |
| Вакуумный режим | BSE: Проводник/Стандарт/Уменьшение заряда SE: Стандарт/Уменьшение заряда Mix: Стандарт/Уменьшение заряда |
BSE: стандартное/сокращение подзарядки |
| Образец траверса этапа | X: 40 мм, Y: 35 мм | |
| Максимальный размер выборки | 80 мм (диаметр), 50 мм (толщина) | |
| Электронная пушка | Предварительно центрированная вольфрамовая нить картриджа | |
| Система обнаружения сигналов | Высокочувствительный 4-сегментный детектор BSE Высокочувствительный низковакуумный детектор SE (UVD) |
Высокочувствительный 4-сегментный детектор BSE |
| Система эвакуации (вакуумный насос) |
Турбомолекулярный насос: 67 л/с×1 шт. Мембранный насос: 20 л/мин×1 шт. |
|
| Размер/вес | Основной блок (моторизованный столик): 330 (ширина)×614 (глубина)×547 (высота) мм, 54 кг Основной блок (ручной столик): 330(ширина)×617(глубина)×547(высота) мм, 54 кг Мембранный насос: 144 (ширина)×270 (глубина)×216 (высота) мм, 5,5 кг |
|
| Основные | |
|---|---|
| Состояние | Новое |